Skip to main content
Workman Family Dental
A Great Dentist
Request an Appointment
Like us on Facebook
Watch our Youtube Videos
Leave a Google Review
Bing
(618) 281-7178
120 Veterans Parkway, Columbia, Illinois 62236
120 Veterans Parkway, Columbia, IL 62236
Menu
Call
Book Now
Map
Home
About
Our Team
Technology
Office Pictures
Services
View All
Full & Partial Dentures
Children's Dentistry
Cosmetic Dentistry
Crowns & Bridges
Dental Implants
Root Canals
Tooth Extraction
Periodontal Treatment
TMJ & Teeth Grinding Treatment
General Dentistry
Smile Gallery
FAQs
View All
Other
Crowns & Bridges
Dental Implants
Full & Partial Dentures
Root Canals
Tooth Extraction
Blog
Financial
Contact
Workman Family Dental
>
Smile Gallery
>
Porcelain Crowns
Porcelain Crowns
Return to Smile Gallery
Previous
Next
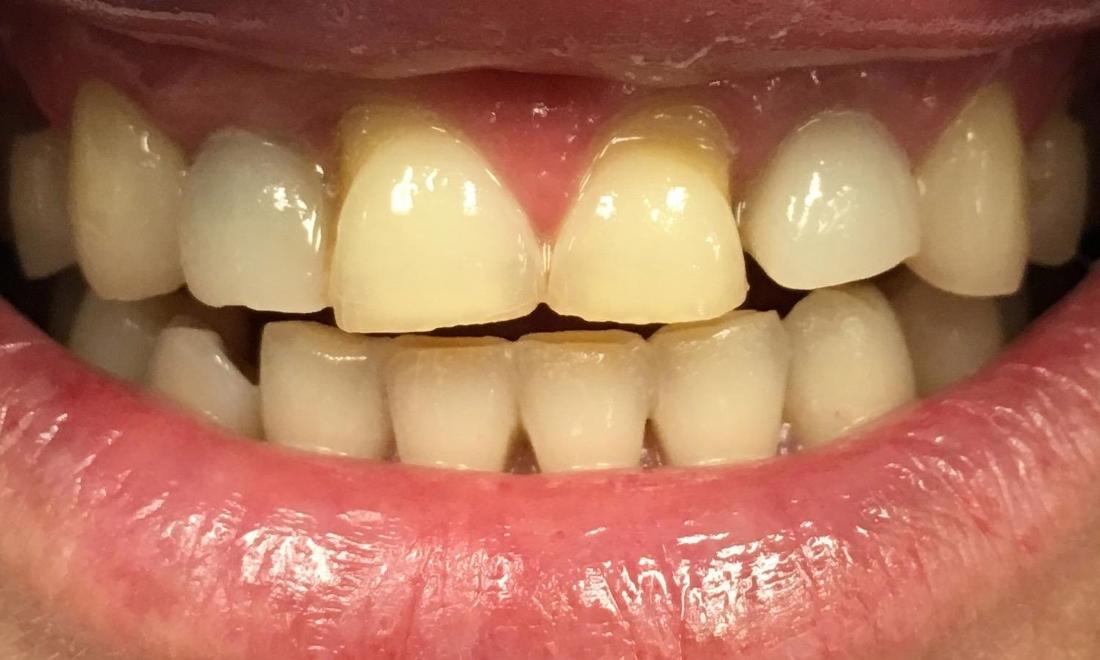
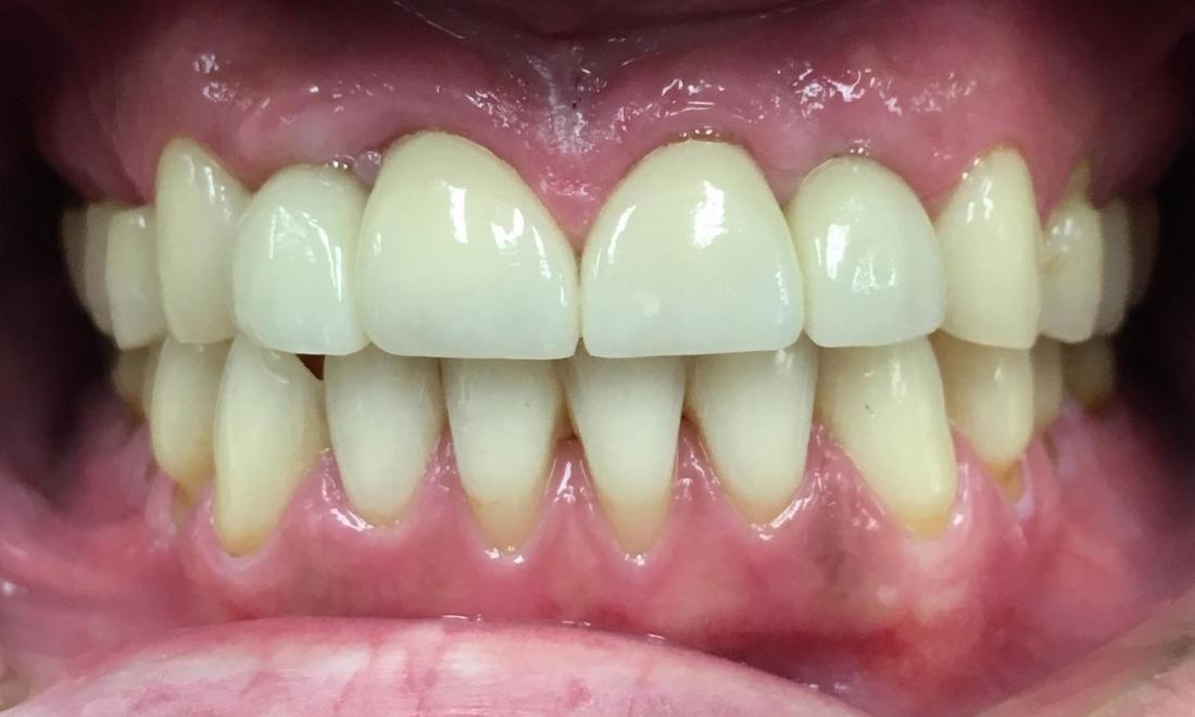
Porcelain crowns were placed to rebuild and reshape the teeth after years of wear. This was completed in two easy visits. The patient had tears of joy when she left.
Related Services:
Crowns & Bridges
Cosmetic Dentistry
Before
After
Getting an appointment is
fast
and
easy
!
Get Started!
OK!
×
×
Contact Us Today
Give Us A Call
Workman Family Dental -
(618) 281-7178
Send Us an Email
Request an Appointment
Contact Us
Ready to Schedule an Appointment?
Book Online
Have Questions? Contact Us:
Required Field
Your Name:
Phone:
Email:
Are you a new patient?:
Are you a?
New Patient
Current Patient
How would you like us to contact you?
Please choose
Email
Call
How did you hear about us?
Please choose
I'm an existing patient
Google/Bing
Mailer
Word of mouth
Social media
Other
Who Referred You?:
Appointment Preferences
Monday
Tuesday
Wednesday
Thursday
Friday
Your Message:
This site is protected by reCAPTCHA and the Google
Privacy Policy
and
Terms of Service
apply.
Sending...
×
This Patient's Experience
Loading Testimonial...
Loading Case...